original post: Mon, 08/07/2017

The pic above shows Darren and I about to paddle an injured Mike to the waiting float plane to get him to the waiting ambulance. I’ve been paddling since I was young and paddling specifically with Mike since we were about 14; on multi-day trips all before cell phones were a thing.
In my mind Mike- or I for that matter, were more likely to shatter an ankle hiking to the top of Hverfjall Volcano Iceland, in March (another article I’ll get around to putting on paper) than how he’d done it on this occasion.
On this occasion, We’d set out early morning June 5th from Cache Lake and made our way over the two portages to Little Island Lake and to our new home on the eastern island on the lake. It rained off and on during the paddle in and stopped just as we made it to set up what was to be our camp for the next two nights.
The purpose of this trip was to relax, catch some trout, introduce our friend Steve to Algonquin Park as well to get Mike’s 8yr old son Scott in the backcountry again- no crazy portages or paddles. Just relaxation. All was going according to plan- camp set up, lunch being made, Scott and Mike down at the water’s edge wetting the line, then snap! Joe, who had just taken his rod down to join them, stated calmly but with alarm- “guys, come down here now please”.
I immediately thought Scott had been injured- perhaps a fish hook in his finger or something, but after making my way down to the water I noticed Mike on the ground. A slip and fall with head injury perhaps? Thankfully not, but his foot was facing the wrong direction.
Steve, with years of first aid experience, went right to work bracing Mike’s foot with an improv splint made from sticks and paracord ( i love paracord). Darren removed Scott from the area and Joe immediately went for the cellphone. I checked on Mike, asking him what happened (I didn’t care at the time, just wanted to see what level of thought he had) to which Mike replied “I’m fairly certain I fucked my ankle up”.
Joe somehow had cell service if he stood in one specific spot on the island and already had Park Services on the phone. They were going to check their options and call back. In the meantime we got Mike lifted into a chair and used a sleeping pad to redo the splint to make our patient more comfortable. We went over options – tarp carry Mike out, build some sort of A-frame and drag him over the portages….none were good, we would risk more injury/trauma to Mike’s ankle, as well as probably injure ourselves in the process- compounding the problem, plus it was now passed 2pm, did we wait til morning to move him out..
Joe’s phone rings- it’s the Park Service, they suggest a team making their way in from Cache Lake, with the idea of carrying mike out over the portages and by boat (their logic was probably to escalate the response to the injury). We reiterate that his foot is facing the wrong way and he can put zero weight on the leg. I also may have mentioned his size and he’s not fun to carry. With that said, the voice on the phone then went to plan B- they’re firing up the plane and doing a fly-by, if the pilot thinks he can land, he’ll go back and grab the paramedic and another Park staff to assist with getting Mike on the plane. Moments pass and we hear the plane taking off from Smoke Lake, minutes later he’s spotted us and tips the wings giving the okay, and then gone. Joes phone rings again- start loading the patient in the canoe and wait by shore until the pilot waves you over.
We can actually hear the ambulance siren from our camp, a few more moments pass and the plane is overhead circling for a landing. We bring Darren’s canoe up the hill and load Mike on dry land. The plan was to launch him and the canoe like a boat from drydock (with more control kinda?) and it works, we’re in the water and after a wave from the pilot now standing on his pontoon throwing the anchor, we make our way in two boats.
We tie off to the pontoon and Joe and Steve secure the other boat. First into the plane is a very reluctant Scott- who until this point had never flown before. The Park staff took great care with Scott and got him in the plane. Up next, a not-light Mike (he can insert his weight here if he’s so inclined). Darren took a fair bit of his weight and stood in the canoe, lifting him over to the plane so he could crawl in with assistance.
It had been an hour and a half since we heard the snap and Mike went down. He hadn’t been drinking, he didn’t have a huge pack on trudging a shitty portage, he wasn’t run-walking down a steep volcano path- he was fishing with his son and stepped on a root funny. We had just experienced the best- bad thing that could happen. All but Scott (8yrs old) had first aid training, we had a first aid kit that we knew how to use, and we had a cell phone with signal. Joe also carries a Spot- an SOS satellite beacon that would have also sent help. (I’m curious to see the process, but I’m also not). We like to call ourselves prepared for things that could happen.
Our trip could have been a lot worse- no Spot, or cellphone and two of us would have canoed out for help, taking more time and risking exposure. We could have gone in without first aid knowledge and made Mikes situation worse, there’s too many “what if’s” to think about.
Whatever your adventure, be prepared, do some training, carry a first aid kit and a communication device, have a plan and let people know your travel plans and expected time back. It really does make a difference.
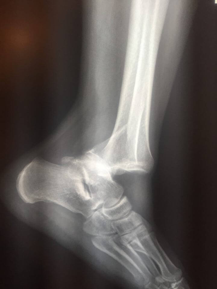
Mike has since had surgery and gotten some great new hardware for his ankle, which was broken in several spots – I’ll throw some X-Rays up if Mike is cool with it. He should be on a walking cast by August and we’re thinking of a late season paddle in October perhaps.
All of us are very thankful for the professionalism of everyone of the Algonquin Park teams that we met and helped get Mike out as well as the paramedics that got Mike from Smoke Lake to Huntsville. They truly have a passion for what they do and we’re grateful for the assist.
Thanks for a great “trip” Mike!


